Common Problems
  • Underbite
    An underbite is characterized by the lower jaw extending out, causing the lower front teeth to sit in front of the upper front teeth.
  • Spacing
    Spacing problems may be caused by missing teeth, or they may only be a cosmetic or aesthetic issue.
  • Upper Front Teeth Protrusion
    The appearance and function of your teeth are impacted by this type of bite. It is characterized by the upper teeth extending too far forward or the lower teeth not extending far enough forward.
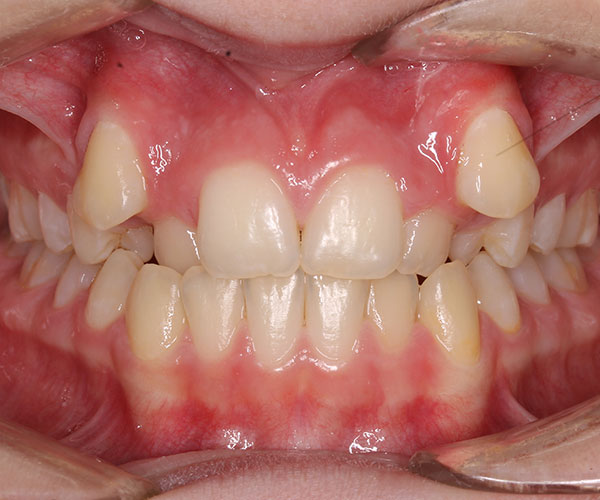
  • Crowding
    Crowding occurs when teeth have insufficient room to erupt from the gum. Crowding can often be corrected by expansion, and many times, tooth removal can be avoided.
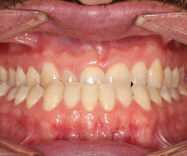
  • Crossbite
    The upper teeth sit inside the lower teeth, which may cause tooth stratification and misaligned jaw growth.
  • Overbite
    The upper front teeth extend out over the lower front teeth, sometimes causing the lower front teeth to bite into the roof of the mouth.
  • Openbite
    Proper chewing is impacted by this type of bite, in which the upper and lower front teeth do not overlap. Openbite may cause a number of unwanted habits, such as tongue thrusting.
  • Unmatched Dental Midlines
    This type of problem is caused when the back bite does not fit and match appropriately, which may negatively impact jaw and proper dental function.

Our FAQ

Have questions? We are here to help. Still have questions or can't find the answer you need? Give us a call at 318-750-2762 today!

  • Why should I choose an orthodontic specialist?
    Teeth, and sometimes entire facial structures, are permanently changed by orthodontic treatment. It is very important that the treatment be appropriate and properly completed. Orthodontic specialists, like Dr. Foster, have extensive and specialized training that enables them to provide all types of orthodontic patients with professional and state of the art treatments.
  • Can I wear braces even though I have crowns and missing teeth?
    Yes. A tooth with a crown will move just like a tooth with a simple filling. When teeth are missing, orthodontic treatment will aid in the alignment of the remaining teeth so that the space where the teeth are missing can be properly restored.
  • Is it too late to have braces if I am already an adult?
    A surprising percentage of our patients are adults. Health, happiness and self-esteem are vitally important to adults. No patient is “too old” to wear braces!

Start Your Smile Journey

  • Please enter your first name.
  • Please enter your last name.
  • Please enter your phone number.
    This isn't a valid phone number.
  • Please enter your email address.
    This isn't a valid email address.
  • Please make a selection.
  • Please enter a message.
  • By submitting, you agree to receive text messages from Foster Orthodontics at the number provided, including those related to your inquiry, follow-ups, and review requests, via automated technology. Consent is not a condition of purchase. Msg & data rates may apply. Msg frequency may vary. Reply STOP to cancel or HELP for assistance. Acceptable Use Policy

Our Reviews

Hear From Our Happy Patients
    "Kind & Knowledgeable"
    The Fosters are amazingly calm, kind, knowledgeable, and treatment-conservative orthodontists! The office staff goes above and beyond making visits a breeze.
    Jennifer C.
    "The Best!"
    Love love love!! They are always so sweet and patient! My daughter deals with anxiety and they make her feel so comfortable. Always explaining what's being done and welcoming any call or concern. They're the best!!
    Zandra A.
    "Competent, Professional & Thorough"
    The technician was extremely thorough and kind, as were all the staff. We look forward to a better smile soon. I know we are in great hands at Foster Orthodontics.
    Scottie S.
    "Clean & Friendly"
    Foster Orthodontics is the best there is!! All of the staff members are friendly, knowledgeable, and personable... The office is very clean, comfortable, and fun! Make your appointment today…you won’t be disappointed!
    Rebecca B.
    "Great Service"
    I loved the service. Everything was well explained and the staff made sure we were comfortable while waiting for my kid.
    Karen R.
    "Fantastic Job"
    I have used Foster for about three years now and they have done a fantastic job with my teeth. Their work is affordable and every experience and appointment always ends in the customers satisfaction..
    Hayden H.
    "Great Team"
    You can definitely tell everyone works great as a team and show they’re not only coworkers but family!
    Rachel S.
    "Great Experience"
    My whole experience with the Foster Orthodontist team was and is the best. You should definitely come here. They are AMAZING!
    Brittany M.